HARIANRIAU.CO - Umumnya, calon ibu yang mempunyai gejala 'morning sickness' pasti akan melakukan tes kehamilan dengan membeli test pack di apotek terdekat.
Harapannya, dengan memakai alat test pack kehamilan ini, akan muncul dua garis biru yang menandakan bahwa rahim sudah 'berisi'.
Namun, ada juga sebagian kasus di mana alat uji kehamilan ini tidak bekerja sebagaimana mestinya. Alat tersebut menunjukkan sudah positif hamil tetapi sebenarnya tidak sama sekali.
Hal ini jarang terjadi, tapi itulah situasi yang dihadapi oleh pasangan suami istri berikut ini. Harapan mereka menimang buah hati hancur musnah setelah dokter mengesahkan bahwa sang istri sebenarnya tidak mengandung.
Yang lebih mengharukan lagi, mereka baru mengetahui hal yang tidak disangka-sangka ini setelah usia 'kandungan' mencapai 9 bulan usai melakukan pemeriksaan ultrasound scan (USG).
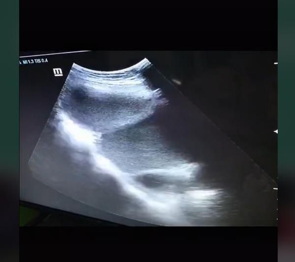
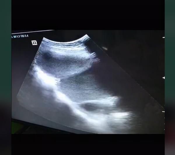
Melalui video TikTok yang diunggah akun @channamix.kapsul, seorang dokter berbagi pengalamannya menangani pasangan suami istri yang datang ke klinik untuk melakukan pemeriksaan USG terhadap kandungan yang sudah berusia 9 bulan.
" Dokter, berapa hari lagi kira-kira saya melahirkan?" tanya calon ibu yang tak disebutkan identitasnya itu.
Namun, sesudah menjalani pemeriksaan USG, ternyata bukan gambar janin yang dilihat melalui layar monitor.
Apa yang disangka janin berusia 9 bulan rupa-rupanya adalah tiga kista berukuran besar sedang tumbuh di dalam rahimnya!
Menurut dokter di video, pasiennya mengakui pernah melakukan ujian kehamilan menggunakan test pack dan hasilnya positif.
Saat itu dia sangat yakin dengan hasil yang terlihat pada test pack sehingga tidak perlu memastikannya dengan datang ke klinik.
Apalagi, selama 'mengandung' itu, perutnya juga tumbuh membesar layaknya seorang calon ibu yang sedang hamil.
Di akhir video, dokter tersebut berpesan kepada para wanita di luar sana agar tidak terlalu berpatokan pada hasil positif yang terlihat pada alat uji kehamilan yang beredar di pasaran.
" Test pack bukanlah tanda pasti hamil... jadi segeralah pergi ke dokter jika Anda merasa hamil agar bisa dipastikan dan tidak terjadi hal seperti ini agi," pungkas dokter.



